Temas Relacionados
Higiene y Prevención
Es necesario realizar una limpieza profesional antes de realizar un tratamiento de ortodoncia para evitar el descementado de brackets [...]
Ortodoncia Invisible
La ortodoncia lingual es un sistema de brackets que se pegan por la cara interior de los dientes (cara [...]
Cirugia Maxilofaxial
En nuestra consulta somos pioneros en esta técnica (SF), la cual ofrece la posibilidad de ubicar los brackets dos [...]
Ortodoncia Jovenes
Tener una sonrisa saludable y luminosa es la mejor carta de presentación a cualquier edad, y es especialmente importante [...]
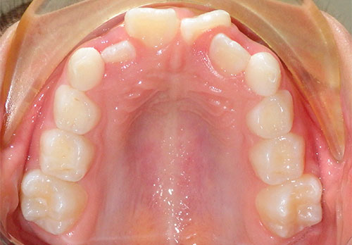
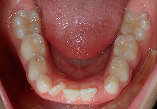
Ortodoncia
En primer lugar el Ortodoncista realizará un examen clínico del paciente (revisará su boca) realizando una Historia clínica donde [...]
Retenedores
Son los aparatos post-tratamiento que mantienen el cambio de tus dientes logrado por el tratamiento de ortodoncia deben ser [...]
Estética y Rehabilitación
Es el método por el cual se obtiene un tono más claro, brillante y saludable de sus dientes ya [...]
Ortodoncia Adultos
En la actualidad no existe límite de edad para llevar aparatos de ortodoncia, si bien las técnicas varían según [...]










