Retenedores
Son los aparatos post-tratamiento que mantienen el cambio de tus dientes logrado por el tratamiento de ortodoncia deben ser usados por un buen tiempo.
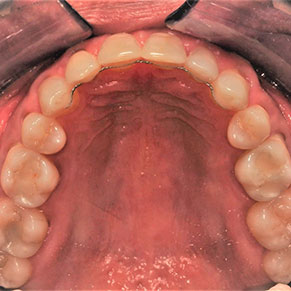
Retenedores Fijos y Convencionales
El retenedor fijo es un alambre que va cementado a los dientes por su cara interna manteniendo así la retención con discreción.
El convencional consiste en un alambre que pasa por la parte externa de los dientes y lleva un recubrimiento de acrílico ya sea en el paladar o por la parte interna de los dientes inferiores (lingual).







